
Rezonanta magnetica de 3Tesla: cea mai performanta metoda de diagnostic
Aparatul de rezonanta magnetica de 3Tesla permite obtinerea de imagini a intregului corp cu un timp de expunere redus si o putere mare de rezolutie.
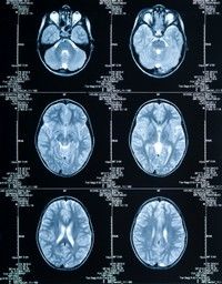
Aparatul de rezonanta magnetica de 3Tesla permite obtinerea de imagini a intregului corp cu un timp de expunere redus si o putere mare de rezolutie.Investigatia prin rezonanta magnetica (iRM) la o intensitate de 3 Tesla este cea mai performanta metoda de diagnostic prin imagine. Investigatia poate diagnostica leziuni cu dimensiuni incepand de la 2 mm. Cu aparatul iRM 3T se pot identifica boli in stadiu incipient, care nu pot fi depistate cu alte aparate de diagnostic imagistic in regiuni ale creierului, maduvei spinarii, cartilagiului articular.
Dintr-un numar de 150 de examinari ale sistemului nervos (creier si maduva spinarii) efectuate in ultimele 2 luni cu aparatul iRM 3T, aproximativ 15% au evidentiat leziuni nevizualizate la examene iRM anterioare, iar in 5% dintre cazuri s-au infirmat leziuni diagnosticate anterior prin iRM.
Metoda de investigatie a fost pusa la punct de echipa condusa de Conf. Dr. Vladimir Ene la centrul de cercetare si diagnostic in imagistica medicala Signa+ din cadrul centrului de servicii medicale din Bucuresti Delta Heathcare.




